DENTAL IMPLANTS DENTIST IN CARNEGIE
MELBOURNE'S LEADING DENTAL IMPLANT CENTRE
❤️ Why Choose DentalCare Carnegie?
At DentalCare Carnegie, we have extensive experience working with multiple implant systems and utilising the latest 3D scanning technology to deliver safe, predictable, and durable implant dentistry!
Open 7 Days
Interest-free Payment Plans for up to 24 months.
On the Spot Claiming with HICAPS.
Preferred Providers for Medibank, BUPA, NIB and HCF.
Flexible payment plans are available through AfterPay and ZIP Money.
Pain-Free! You will not feel anything sharp or painful during your procedure as we use the strongest Local Anaesthetics available.
CT-guided implant stents and 3D imaging.
We use proven and highly effective dental implants system in Carnegie.
We are now open late evenings, and Saturdays, and Sundays!
COVID-19 fully compliant practice.
Our audited implant integration rates are over 98%
Improve Quality of life, Function, Confidence, and Appearance.
Call Us Today - (03) 9571 6667
Our Implant Services Include
Sinus Lift Augmentation.
Autogenous Bone Grafting
Implant Site Development
Computer-Enhanced Treatment Planning
Implant Maintenance.
DENTAL IMPLANTS IN CARNEGIE
People are living much longer than ever, and while regular brushing, flossing, and check-ups allow many of us to maintain our natural smiles for a lifetime, sometimes our teeth just can't keep up and begin to break down. If you've lost a tooth (or a few teeth) due to injury or disease, dental implants in Carnegie can rejuvenate both your smile and your oral health.
An implant is a synthetic tooth root in the shape of a post that is surgically placed into the jawbone. The “root” is usually made of titanium: the same material used in many replacement hips and knees in medicine and a metal that is well-suited to pairing with human bone. A replacement tooth is then fixed to the post. The tooth can be either permanently attached or removable.
Permanent teeth are more stable and feel more like natural teeth. The ideal candidate for implants is a non-smoker who has good oral health, including a sufficient amount of bone in the jaw, and healthy gums with no sign of gum disease, along with the motivation to maintain their oral health
Single or Multiple Implants
Implants are versatile. If you are only missing one tooth, one implant plus one replacement tooth will do the trick. If you are missing several teeth in a row, a few strategically placed implants can support a permanent bridge (a set of replacement teeth). Similarly, if you have lost all of your teeth, a full bridge or full denture can be permanently fixed in your mouth with a strategic number of implants.
Advantages over Dentures or Bridges
Conventional bridges and dentures are not fixed to the bone and can therefore be unstable. They can make it difficult to eat or smile with confidence. Implants not only look more natural but feel and act more like normal teeth, with a stronger biting force. Plus, they don't directly rely on neighbouring teeth for support and don't compromise the health of your natural teeth. In fact, bridges are only expected to last seven to ten years, and even lesser with root canals, whereas implants will typically last a lifetime.
Post-Treatment Care - Consider your replacement teeth to be the same as natural teeth. They require the same daily brushing and flossing, and the same amount of regular check-ups. Just like your natural teeth, the better you take care of your replacements, the longer they will last.
Call us on 03 957 1667 to make an appointment!
You can avail our services in the suburbs like Malvern, Glen Iris, Ashburton, Chadstone, Murrumbeena, Moorabbin, Caulfield, Malvern East, Bentleigh, Bentleigh East.
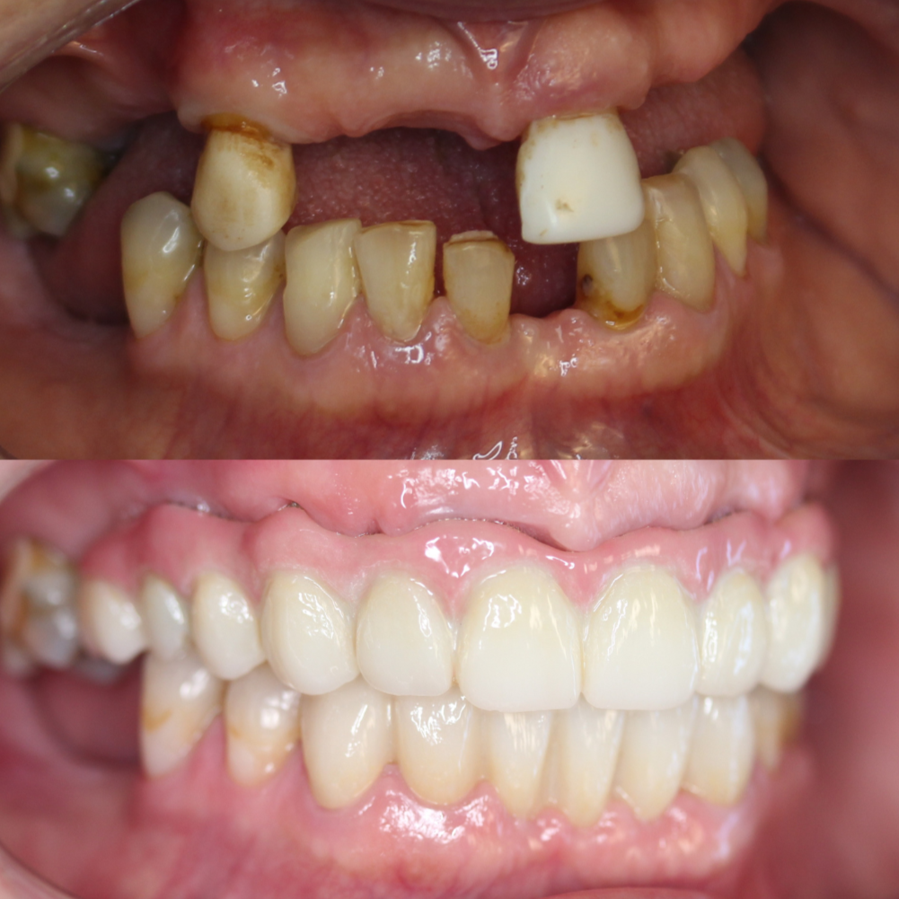
Before and After Images
Frequently Asked Questions
At DentalCare Carnegie, we use very well-researched and well-respected implant systems. As a team that works extensively on dental implant treatments, we would be very uncomfortable using lower quality or less well-researched systems. Remember, we expect our implants to last for a very long time, possibly even for life, so there really is no justification for taking a cost-cutting approach to such an important matter. You might like to know that this philosophy has helped countless patients replace their missing teeth, and enjoy the functionality and confidence that comes with having a full set of teeth.
In choosing a clinic, we always recommend that patients look carefully at the training of the surgeons and dentists involved, the materials used, and the long-term back-up provided. It is also a good idea to visit the clinics and meet with some of the staff. That way, you will be able to make your mind up very quickly. Our experience is that the decision rarely comes down to price.
It is perfectly normal to consider carefully the cost of any serious investment. It may seem like a lot to spend on your mouth, and it is down to each patient to decide if the improvements to the quality of life, function, confidence, and appearance are worthwhile. We only prescribe the necessary treatment. If you are searching for a bargain, please keep in mind that we regularly have to repair many cases from other clinics or overseas that have gone wrong due to inadequate planning, skills, or materials. Being preferred providers for Medibank, BUPA and HCF, you can rest assured that you will receive the highest possible rebate on your implant treatment, and we have flexible payment plans available through AfterPay and ZIP Money.
This is one of the most common concerns for people thinking about having an implant. When carried out by an experienced dental surgeon such as Dr Alex Maer, most dental implants are very straightforward to place, taking only about ten to fifteen minutes to complete the surgical part of the treatment. However, more complex cases may take longer.
The majority of implants are placed under a normal dental local anaesthetic. Though the local anaesthetic injections can sting a little, and most of us have experienced dental injections in our mouth at some time, once you are numb, you will not feel anything sharp or painful throughout your treatment. You will feel some pressing and pushing during the procedure as well as some vibration during the first stage, but this will not be sharp or painful in any way, and your dentist will check to ensure you are completely numb before starting the surgery.
For bigger procedures, such as multiple implants or complex cases, Intravenous sedation can be provided. Sedation is not a general anaesthetic but makes patients feel very comfortable and relaxed, and they rarely remember much about the procedure afterwards, which is an advantage for many nervous patients.
Obviously, the more training and experience the clinician carrying out your dental implant treatment has, the quicker it will be, and the more comfortable you are going to be, so make sure you check out your implant surgeon thoroughly before starting treatment.
Firstly, the great news is that innovative techniques mean that many patients can avoid any kind of bone grafting altogether – even if you have been told you need this by others. These include CT-guided implant stents and 3D imaging.
When it is necessary, we use many different materials for bone grafting, which are chosen on a case-by-case basis as the best material for each patient. However, we now use synthetic, laboratory-made materials more and more, replacing the need for cow-derived products almost completely. These synthetic products are rapidly replaced by the body’s own bone, meaning that they disappear completely from the body within a few months.
If the treatment is straightforward, it can last as little as ten weeks from the placement of the implant to fit the final crown. However, sometimes treatment can take longer depending on the level of complexity of your case, with some patients not finishing for up to a year. The exact time frame will be ascertained from your assessment at DentalCare Carnegie and the results of any necessary scans.
Any surgical procedure can have complications, and dental implants are no exception. When an implant is placed, your bone then needs to grow onto and fuse to the implant, in a process known as ‘osseointegration’, if it is to become a firm foundation for a crown. The risks of failure are increased in smokers, poorly controlled diabetics, and patients with a history of gum disease and poor oral health. In the unlikely event that your bone fails to grow onto an implant and integrate, we replace the implant completely free of charge with a different design. We have usually found that patients wish to try again and that a second failure is exceptionally rare.
We are very careful to continuously audit our results and assess our performance, and we always strive to excel. Our audited implant integration rates are over 98%, and we will be happy and proud to show you our figures at any time. This is an exceptional figure, and it is down to both the skill and experience of our team, and the quality of the equipment and implants that we use.
Normally yes – we have worked with many exceptional cases where other dentists have said there is inadequate bone. We will do a thorough assessment of course, including detailed x-rays and the latest in 3D imaging to assess the bone available.
Very rarely we will explain that there is not enough bone to safely work with dental implants, and then we have to consider alternative dental options in Carnegie.
Absolutely. Dentures are most patients’ nightmare due to the difficulty in wearing and the effect on all aspects of life. Small dentures can be replaced with just a few implants, or complete (full) dentures can either be held in position with implants or replaced with implants altogether – surely the most amazing dental transformation available.
It’s a small titanium post placed in your jaw to replace a missing tooth. A crown is placed on top to restore appearance and function.
Very — we’ve completed over 4,000 implant cases, with a success rate above 99%, using advanced 3D planning and guided techniques.
It’s a full-arch restoration supported by four strategically placed implants. It’s a permanent solution for patients with multiple or all missing teeth.
With proper care, they can last 15+ years — often much longer.
Yes — many patients choose sleep sedation for implant or All-on-4 surgery. We’ll discuss your options in your consult.
At DentalCare Carnegie, we use advanced 3D‑CT imaging and CT‑guided implant stents to plan implant surgery precisely. Our clinic offers proven implant systems with audited success rates of over 98%. With flexible payment plans (interest‑free options), experienced implant dentists, and same‑day emergency support, we strive to give you confidence in both function and smile.
The process includes multiple steps. After initial consultation and planning, the implant is placed surgically; bone healing (osseointegration) takes around 2‑4 months. Once healed, the abutment and crown are fitted. In some cases (for example “All‑on‑4” or when immediate loading is possible), temporary teeth may be placed sooner.
Yes. We guarantee same‑day emergency appointments for both new and existing patients. If you have implant issues (pain, swelling, loose fixture) or other urgent dental issues (broken tooth, root infection, etc.), contact us at (03) 9571 6667 and we’ll prioritise you.
We provide interest‑free payment plans (up to 24 months) for implants, and accept major health insurance providers (Medibank, BUPA and NIB). We also offer flexible payment via AfterPay, ZIP Money and HUMM Pay, and on‑the‑spot claiming with HICAPS.
Most of the discomfort is controlled through effective local anaesthetic — you should not feel anything sharp or painful during surgery. For anxious patients, our clinic provides sedation / sleep dentistry options to ensure comfort.
We are located at Suite 1, 61 Koornang Road, Carnegie VIC 3163. We serve Carnegie plus surrounding suburbs around Melbourne — including Oakleigh, Murrumbeena, Chadstone, Malvern East, Ashburton, Caulfield, and Bentleigh East. If you are in those areas and looking for implants, emergency dental care, or any major dental treatment, we are nearby and opposite Carnegie Train Station.


